- 補綴専門・指導医 入れ歯専門歯科医師
- 歯科技工士常駐 院内で入れ歯を製作
- 全国に医院 専門グループ
他院で断られたケースも多くご相談いただいています
※直近10年のグループ医院累計

入れ歯専門の歯科医師
日本補綴歯科学会 指導医・専門医が在籍

歯科医師との連携
歯科技工士が院内で入れ歯を
直接製作
院内に技工士がいるメリット
- 治療への立会い(状況に応じて)
- お悩みや発音、見た目などの直接確認
- 急な調整や修正にも対応
- 短期での入れ歯製作も可能
入れ歯治療の種類
入れ歯のお悩みはこれで最後に。
最適な治療方法をご提案します

こんな方にお勧めです
ひとつでも当てはまる方は、ぜひご相談ください
ひとつでも当てはまる方は、ぜひご相談ください

何度調整・作っても入れ歯が
合わない方
その入れ歯、原因から見直します
何度調整しても痛い・外れる入れ歯には理由があります。入れ歯だけでなく、噛み合わせや顎の状態まで専門的に診断し、根本改善を目指します。

長年我慢して入れ歯を使い続けている方
我慢する入れ歯治療は、もう終わりにしませんか
諦めて使っている入れ歯も、適切な設計で快適に変えられる可能性があります。

入れ歯安定剤が手放せない方
安定剤に頼らない入れ歯へ
毎日安定剤が必要なのは合っていないサイン。ズレや浮きの原因を分析します。

見た目や発音が気になる方
口元の自然さまで考えた入れ歯治療
噛めるだけでなく、話しやすさや見た目にも配慮した設計を行います。

ブリッジ/インプラントが不調の方
別の選択肢があるかもしれません
ブリッジやインプラントがグラグラしだったりと状態が悪い方も、状態を正確に診断し、将来を見据えた治療法をご提案します。

歯がボロボロの方
諦める前に、一度ご相談ください
残せる歯を大切にしながら、入れ歯を併用しながらお口全体の改善を目指します。
入れ歯専門治療の体制
一人ひとりのお口にぴったりの
入れ歯治療を行う為に

院内で入れ歯を製作
即日対応・細かな調整が可能
歯科技工士が院内に常駐しているため、入れ歯の製作や調整をその場で行えます。患者様のお口の状態を直接確認しながら、きめ細かな対応が可能です。

入れ歯専門チーム
専門医と技工士が連携
入れ歯治療に特化した歯科医師と歯科技工士が密に連携し、一人ひとりに最適な入れ歯をご提案します。豊富な症例経験から、難症例にも対応可能です。

担当医制
最後まで同じ歯科医師が担当
初診から治療完了後のメンテナンスまで、同じ歯科医師が責任を持って担当します。お口の状態の変化を継続的に把握し、長期的な視点で治療計画を立てます。
\ まずは、お気軽に無料相談を/
ご利用ください/
症例紹介
実際の治療例をご紹介します
(個人差があります)
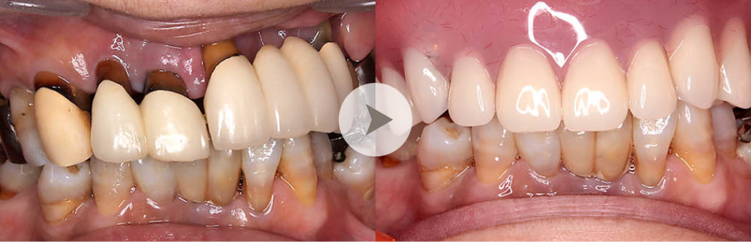
症例1

長年使用していた入れ歯が合わなくなり、痛みで食事が困難な状態でした。新しい精密入れ歯により、快適に食事ができるようになりました。
症例2

部分入れ歯の金具が見えることがコンプレックスでした。ノンクラスプデンチャーにより、自然な見た目を実現しました。
症例3

総入れ歯が外れやすく、会話中の不安がありました。吸着性の高い精密入れ歯により、安定剤なしで快適に過ごせています。
症例4

歯周病や虫歯でボロボロになった歯をAll-on-4で治療。オペ直後にきれいな歯並びを手に入れて、笑顔も増えたそうです。
※ 症例は一例であり、効果を保証するものではありません

当院が選ばれる理由
多くの患者様にご信頼いただいています
多くの患者様にご信頼いただいています

専門の歯科医師と技工士による連携治療
歯科医師と技工士が院内で連携することで、お一人おひとりに最適な入れ歯を作製します。

入れ歯以外の必要な歯の治療も総合的にできます
虫歯、歯周病、抜歯、根管治療など、入れ歯製作に入る前に必要となる歯を診断して、総合的に治療を行います。

抜歯しかないと言われた歯も抜かずに治す
ご自身の歯をできるだけ抜かずに残すための「根の治療」を、歯の保存の認定医資格を持つ歯科医師が、マイクロスコープやCTを使用した精密治療を一貫して対応できる体制を整えています。

残っている歯も痛めず、長く快適に使える入れ歯
なるべく残っている歯に負担をかけない入れ歯の設計で、大切な歯を守りながら長く快適に使えます。

ご家族同伴での治療も可能
お一人での通院が不安な方も、ご家族と一緒に治療内容を確認できます。

入れ歯完成前の試着ができて安心
実際に試してから最終調整を行うので、納得のいく仕上がりになります。
高評価を頂いております。
治療費
当院の治療は保険が適用されない
自由診療です
明朗な料金体系で安心してご相談いただけます
料金表は税込価格となります。
- 初診相談(予約制)
- 無料
まずはお気軽にご相談ください。お悩みやご希望をじっくりお伺いします。
- 所要時間
- :60〜90分
- 担当歯科医師
- :専門の歯科医師
- 当日の持ち物
- :お薬手帳/ご利用中の入れ歯
※レントゲン撮影を行った場合
- レントゲン撮影費用
- 4,400円
- 入れ歯 調整
- 33,000円
- 入れ歯 修理
- 33,000~110,000円
- 入れ歯 新規製作
- ・数本の部分入れ歯
- 220,000円
- ・部分入れ歯
- 660,000円
- ・総入れ歯
- 462,000円
- 治療開始前に、必ず費用の詳細をご説明します
- ご納得いただいてから治療を開始します
- 追加費用が発生する場合は、事前にご相談します
お支払い方法
- 一括~複数分割支払いが可能です。
- 現金支払い/銀行振込/医療ローン/クレジットカード各種

※詳しくは初診時にご説明いたします。
医療費控除
入れ歯治療を含む治療費と交通費が、医療費控除の対象となります。ご家族の医療費も含めて、
年間合計10万円を超える場合、医療費控除の適用が可能となります。
医療費に関連する領収書は大切に保管してください。
新規製作された入れ歯の保証
当院で新しくお作りする入れ歯には、すべて保証が付いています。
期間や具体的な内容など、詳しくは初診無料相談にてご説明させて頂いております。
治療の流れ
初診から治療完了まで、丁寧にサポートします


Step2.初診・診察
お悩みやご希望を詳しくお伺いします。口腔内の状態を確認し、必要に応じてレントゲン撮影を行います。

Step3.診断・治療計画説明
検査結果をもとに、最適な治療方法をご提案します。治療期間や費用についても詳しくご説明します。

Step4.治療開始
ご納得いただいた治療計画に基づいて治療を開始します。院内技工所と連携し、精密な入れ歯を製作します。新規の入れ歯製作には通常2ヶ月程度かかります。

Step5.完成・調整・定期検診
入れ歯の完成後も、定期的なメンテナンスでサポートします。快適にお使いいただけるよう調整を続けます。
よくあるご質問
患者様からよくいただくご質問にお答えします
- 入れ歯が合わないと言われる原因には、どんなものがありますか?
- 入れ歯が合わない理由は、人によって本当にさまざまです。噛み合わせのズレだったり、顎の動きとの相性だったり、入れ歯の設計そのものが合っていないこともあります。見た目や痛みだけでは判断できないことも多く、きちんと原因を見極めることが大切です。
- 他の歯科医院で作った入れ歯でも、診てもらうことはできますか?
- はい、可能です。実際に「他院で作った入れ歯が合わない」というご相談は少なくありません。現在お使いの入れ歯の状態を確認し、調整で対応できそうか、作り直した方がよいかをお話しします。
- 入れ歯が痛い、外れる、噛みにくいのは珍しいことではないのでしょうか?
- 決して珍しいことではありません。こうした症状は、入れ歯とお口の状態がうまく合っていないサインであることが多いです。無理に使い続けるより、一度状態を確認した方が安心な場合もあります。
- 入れ歯治療には、どれくらいの期間や通院回数が必要ですか?
- 治療内容やお口の状態によって異なりますが、目安としては、数回から複数回の通院で、期間は1〜3か月ほどかかることが多いです。初診の際に、できるだけ具体的な見通しをお伝えしています。※遠方からのご通院や、お急ぎの場合には、短期での製作も受け付けておりますので、お気軽にお問合せください。
- 入れ歯は、作り直さずに調整だけで良くなることもありますか?
- 状態によっては、調整だけで楽になることもあります。ただし、入れ歯の設計自体に問題がある場合は、調整を重ねても限界があり、作り直しをご提案するケースもあります。
- 年齢が高くても、入れ歯の治療を受けることはできますか?
- 年齢だけで治療をお断りすることはありません。お口の中の状態や体調を確認したうえで、無理のない治療方法を一緒に考えていきます。
- 初めて相談する場合、どんなことまで聞けますか?
- 今お困りのことや、入れ歯について気になっている点を自由にお話しください。合わない原因や、今後考えられる選択肢について、分かりやすくご説明します。相談だけで終えていただいても問題ありません。
疑問や不安なことがあればお気軽にお問い合わせください。
お問い合わせ
まずは無料相談を
ご予約ください
歯科医師による無料の初診
を実施しています
お口の状態を総合的に確認して、改善に向けた治療をご説明します。
予約制初診は予約制となります
- 初診相談費用|無料※
- 所要時間|60~90分
- 担当歯科医師|専門の歯科医師
- 当日の持ち物|お薬手帳/ご利用中の入れ歯
※レントゲン撮影を行った場合は4,400円(税込)頂戴します。
初診ではこのようなことが分かります。
- お悩みの原因は何か?
- どんな治療が適しているか?
- 完治までの期間・ご費用

~ 初診の結果をお持帰りいただき
ご自宅でゆっくりご検討いただけます ~








アクセス
お気をつけてお越しください。














